Blog

Blog

Deep bite or overbite: when does it exist and treatment?

Overbite
The deep bite or overbite is a type of malocclusion that must be treated as soon as possible in children and young people. With no doubt, not treating this malocclusion at an early stage can cause serious oral health problems when the child becomes an adult.

Deep bite or overbite: when does it exist and treatment?

What is overbite?

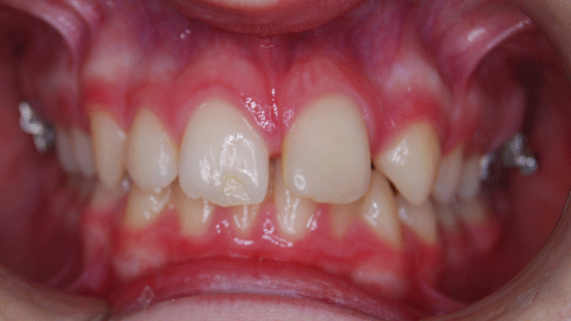
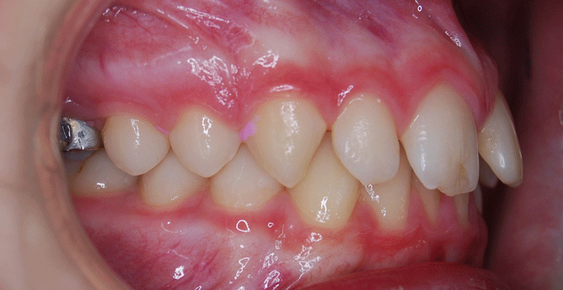
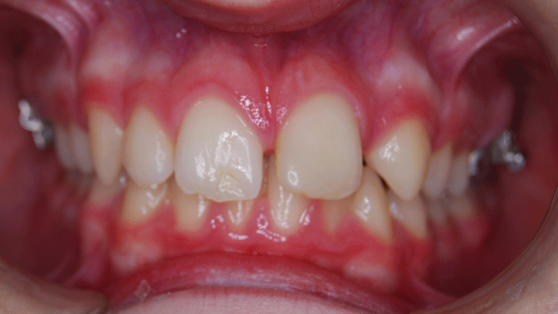
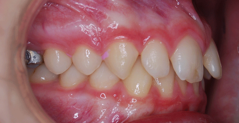
The deep bite, also known as overbite, is a problem of malocclusion in which top teeth excessively overlap the lower ones.

However, we must not confuse cases of deep bite with a slight partial coverage of the lower teeth that can be considered normal. During routine check-ups with the pediatric dentist, this issue can be reviewed, especially if the child extends in time the habit of thumb sucking.

Also, we should note the term “deep overbite“, although used by certain sources, is not used in the profession.

How much overbite is considered normal?

Obviously, the overbite is the distance between the edge of the upper and lower central incisors vertically. Clearly, the deep bite considered normal has the upper front teeth exceeding approximately 1/3 of the lower ones.

Also, terms such as “underbite” and “negative overbite” are not the most academic, although used a lot. Instead, the correct way to name this type of dental malocclusion is anterior crossbite.

What happens if you don’t fix a deep bite?

Generally, an overbite can cause multiple oral health disorders. Among them, we can highlight:

  • chewing disorders: that could damage teeth and gums.

  • breathing problems: which could cause problems such as insufficient nasal breathing and/or excessive oral breathing.

  • alterations in the occlusion: that could affect the good relationship between the upper and lower jaw bones.

  •  problems in the temporomandibular joint or TMJ: among them, pain when chewing or biting.

  • aesthetic alterations: that is, in the appearance of the face and/or the smile.

For all these reasons, to correct a deep bite it is important to diagnose the case, generally class II, and have an early orthodontic treatment plan prepared. 

 

Are deep bites genetic?

Sometimes, there are genetic factors in the family at the origin of this malocclusion. 

Particularly, a common cause is when the lower jaw (or maxilla) is small. When this happens, the top teeth look “advanced” and the lower ones continue to emerge and grow until they touch the roof of the mouth.  Obviously, traumatic wounds or ulcers can occur in the palate which can cause considerable discomfort or pain.

If there is a lack of any front tooth or incisor (agenesia), a situation similar to having a small jaw occurs, and it is easier to get a deep bite malocclusion.

Deepbite

How do you fix a deep bite in a child?

In children, deep bite is corrected with interceptive orthodontics. To avoid excessive wear, it is ideal to start treatment between approximately five and nine years of age.  Fixed orthodontic treatment is performed to correct it during adolescence, since at that age it is too late for an interceptive treatment option.

Certainly, interceptive treatments can be performed with different devices. Also, an orthodontic study will indicate the most appropriate appliance.

On the other hand, fixed orthodontic treatment can be performed with brackets or with transparent aligners. Particularly, in the case of brackets, these can be aesthetic or the conventional metallic ones.

Finally, the decision for the type of overbite mechanics or appliance will depend on how the bite occludes and on functional aspects. Also, on the facial traits of the kid or teenager.

 

Overbite before and after

Deep bite before and after side view

How long does it take to fix a deep bite?

To correct the overbite, the case of the child or young person should be studied through a study to assess the type and time necessary for treatment. Therefore, whether it is interceptive or fixed orthodontics, it will depend on the degree and type of overbite and the age of the patient.

What is severe overbite?

Specifically, we speak of a severe overbite, when it reaches a maximum degree. That is to say, when the upper middle front teeth completely cover the lower ones. Sometimes, it is also known as a complete overbite.

 

At what age should an overbite be corrected?

As said before, not treating this malocclusion can cause oral health problems in adults. Therefore, the options are interceptive orthodontics in young children and fixed orthodontics if detected by adolescence.

Finally, we recommend checking if your child has a dental deep bite. Unfortunately, the treatment of an overbite in adults is more complex.

 

References:

Boj JR, Catalá M, Mendoza A, Planells P, Cortés O, Odontopediatría. Bebés, niños y adolescentes. México DF. Odontología Books, 2019.

Boj JR, Auría B, Cortés O, Stucchi C, González P, Espasa E. Formación clínica en Odontopediatría. Barcelona. Editorial Universidad de Barcelona, 2021.

Send by mail
Share on Facebook

Last posts

dents incisives

Incisor teeth: what they are and treatment

In our dental clinic we treat many cases of problems with incisor teeth in children and young adults. After the treatment a perfect smile is recovered. See a recent case where the chipped incisor of a child was aesthetically restored.

Read more »