Blog

Blog

Most frequent gum disease in children and young adults

Gum disease
Gum disease should be treated as soon as possible to stop its evolution and avoid serious periodontal illnesses. Also, if your son is wearing braces and cleaning techniques are not optimal. Know all about the most frequent gum disease in children and young people called Gingivitis!

Most frequent gum disease in children and young adults

What is childhood gingivitis?

 

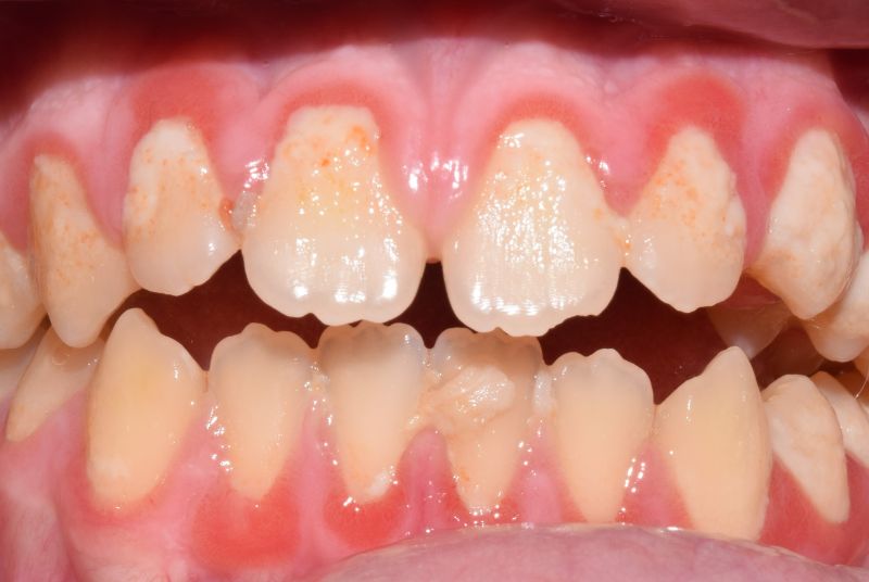
The gum disease most frequently seen is gingivitis. Additionally, the gingivitis treatment should be performed in the area where the teeth meet the gums. For sure, it is the periodontal type of problem more frequently seen in children and young people. Sometimes, we see inflamed and red gums in our children, usually caused by fast brushing for too short period of time and, then, not removing enough dental plaque.

 

In normal circumstances, the gums of children and young people are pink. However, the presence of dental plaque, apart from yellowing the teeth, causes the gum tissue to react and swell. In addition, when kids brush their teeth the gums tend to bleed. Without doubt, bleeding gums are not the result of brushing too hard during home care, but rather swollen gums due to great amounts of dental plaque producing gingivitis.

 

gingivitis treatment

 

 

 

 

 

 

What causes gingivitis in children?

 

When there is an excessive quantity of dental plaque and good oral hygiene habits are neglected, inflammation of the gums can appear in our children. Nor should we forget that orthodontic treatments can also hinder access to optimal cleaning.

 

If proper hygiene techniques are not used, food remains stuck to the teeth, especially in the gum area around the teeth. Then, the usual bacteria that we have in the mouth take advantage and also stick, forming dental plaque. For all these reasons, to prevent or treat gingivitis, it will be a priority to eliminate the plaque around the teeth.

 

However, we must not forget that there are families with a special genetic predisposition to bleeding gums. In these cases, it is mandatory to visit the dentist before permanent tooth eruption. Furthermore, another possible cause of gingivitis is a hormonal change when children enter adolescence, since increased blood circulation can facilitate gum inflammation. On other occasions, gingivitis appears induced by drugs such as some antiepileptics, calcium antagonists, or other drugs of fungal, viral or bacterial origin.

 

 

What symptoms can cause juvenile gingivitis?

 

Particularly, there are certain warning signs that can guide parents and caregivers. Therefore, the symptoms of the gum disease called gingivitis are:

 

  • Bad breath or halitosis.
  • Pain in a tooth, especially if the bone that supports it is affected.
  • Red gums.
  • Blood in the gums during brushing or eating, a normal signal in early stages of this periodontal disease.
  • Separation of the gum from the teeth in the area where the gum meets the tooth, creating periodontal pockets. If we find bone loss, it should be studied.
  • In cases of severe gingivitis, pus or abscesses in the gums.

 

 

How to treat gingivitis in children?

 

The treatment of gingivitis consists of applying good oral hygiene habits that guarantee the health of the teeth, gums and the entire oral cavity. For this reason, brushing and flossing techniques and mouthwash are mandatory. Consequently, the use of dental floss to keep plaque control between the teeth is also very helpful.

 

Additionally, if it is detected at the time of a regular dental check-up in the pediatric dental clinic, we need to carry out a professional cleaning. At the same time, the dentist or dental hygienist will propose a gingivitis treatment plan. At the end of it, a fluoride varnish or gel should be applied to protect the enamel. Also, according to worldwide recognized european and american dental pediatric associations, this will help achieve optimal oral health for the child and prevent the evolution to severe gingivitis.

 

How long does gingivitis last in children?

 

For sure, it will depend on the specific case and the time spent to eliminate the dental plaque accumulation. Normally, the initial gingival problems are usually solved with the removal of bacterial plaque. Then, the gingivitis will disappear and consequently the bleeding.

 

Also, when a child’s or young person’s gum bleeds, pediatric dentists always recommend continuing with brushing. If this were not the case, the bacterial plaque would accumulate even more in the area of the tooth in contact with the gum. Therefore, the bleeding would not only not stop, but would even be more intense.

 

Finally, childhood and juvenile gingivitis is a type of disease that, with proper hygiene and professional treatment, is reversible.

 

References:

Boj JR, Català M, Mendoza A, Planells P, Cortés O. Odonto Pediatría, Bebés, Niños y Adolescentes. México. Odontología Books, 2019.

 

 

Send by mail
Share on Facebook

Last posts

dents incisives

Incisor teeth: what they are and treatment

In our dental clinic we treat many cases of problems with incisor teeth in children and young adults. After the treatment a perfect smile is recovered. See a recent case where the chipped incisor of a child was aesthetically restored.

Read more »