Blog

Blog

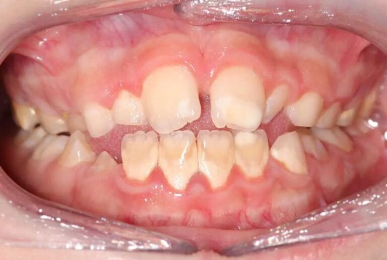
dents incisives

Incisor teeth: what they are and treatment

In our dental clinic we treat many cases of problems with incisor teeth in children and young adults. After the treatment a perfect smile is recovered. See a recent case where the chipped incisor of a child was aesthetically restored.

Read more »
Gum disease

Most frequent gum disease in children and young adults

Gum disease should be treated as soon as possible to stop its evolution and avoid serious periodontal illnesses. Also, if your son is wearing braces and cleaning techniques are not optimal. Know all about the most frequent gum disease in children and young people called Gingivitis!

Read more »
interceptive orthodontics

Interceptive orthodontics in Paediatric Dentistry

While the milk teeth are still present, interceptive or functional orthodontics for children seeks to solve later minor or major problems. Also, solving major problems at early ages will ease and shorten orthodontic treatments during adolescence.

Read more »