Blog

Blog

Sobremordida o Mordida Profunda: ¿qué provoca y tratamiento?

Sobremordida
Cuando los dientes delanteros superiores ocluyen excesivamente sobre los inferiores hablamos de sobremordida o mordida profunda. Es aconsejable que esta maloclusión se trate de forma temprana en niños y jóvenes.

Sobremordida o mordida profunda: ¿qué provoca y tratamiento?

¿Cómo saber si tienes sobremordida?

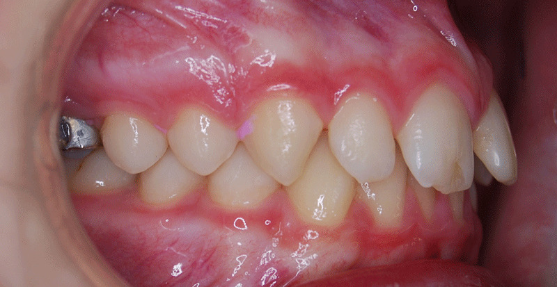
La sobremordida, lo que coloquialmente se conoce como mordida profunda, es un problema de maloclusión en que los dientes de arriba están adelantados y cubren excesivamente a los inferiores. Por lo tanto, podemos afirmar que existen distintos grados de sobremordida.

Sin embargo, no debemos confundir casos de sobremordida con un ligero cubrimiento parcial de los dientes inferiores que puede considerarse normal. Por ello, es importante tratar este tema en las revisiones rutinarias con el odontólogo pediátrico, especialmente si los niños tienden a prolongar el hábito de chuparse el dedo o succión del pulgar.

Por otro lado, debemos destacar que el término “sobremordida profunda”, aunque mencionado por ciertas fuentes, no se utiliza en la profesión.

¿Cuánto es el overbite normal?

El overbite o sobremordida es la distancia entre el borde del incisivo central superior e inferior en sentido vertical. El overbite considerado normal tiene el incisivo superior sobrepasando aproximadamente 1/3 al incisivo inferior.

También, debemos destacar que los términos “sobremordida inferior” y “overbite negativo” no son los más académicos, pero coloquialmente se utilizan mucho. La manera correcta de nombrar a este tipo de maloclusión dental es el de mordida cruzada anterior.

¿Qué provoca la sobremordida?

La mordida profunda puede provocar múltiples trastornos de salud. Entre ellos, podemos destacar:

  • los trastornos en la masticación: que podrían dañar dientes y encías.

  • problemas en la respiración: que podrían causar problemas como insuficiente respiración nasal y excesiva respiración oral.

  • alteraciones en la oclusión: que podrían afectar a la buena relación entre los huesos maxilar superior e inferior.

  • problemas en la articulación temporomandibular o ATM: entre ellos, dolor al masticar o morder.

  • alteraciones estéticas: es decir, en la apariencia de la cara y/o en la sonrisa.

Por todo ello, es importante realizar un diagnóstico temprano para tratar esta maloclusión, generalmente de clase II.

 

Causas genéticas de la mordida profunda

En ocasiones, una de las causas de la sobremordida son los factores hereditarios familiares.

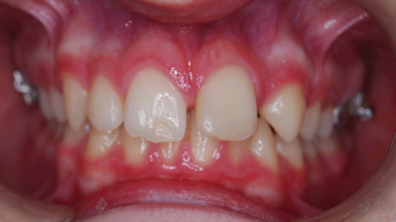
La causa más común se debe a que la mandíbula inferior (o maxilar) es pequeña. Cuando ello se produce, los dientes superiores se ven “adelantados” y los incisivos inferiores siguen saliendo y creciendo hasta llegar a tocar la mucosa del paladar o techo de la boca. Se pueden producir heridas traumáticas o úlceras en el paladar que pueden producir un malestar o un dolor considerables.

Si existe la falta de algún incisivo (agenesia o falta de pieza dental), se produce una situación parecida a tener una mandíbula pequeña. En ocasiones, ocurre que los dientes posteriores tampoco cierran bien.

mordida profunda

El patrón braquifacial de crecimiento de la estructura facial (patrón de cara más ancha y corta que no alargada) es el que más se relaciona con la mordida profunda. Normalmente, estos patrones son maloclusiones de clase II, tanto dental como esquelética.

¿Cómo se corrige la mordida profunda en niños?

En los niños, la sobremordida o mordida profunda se corrige con ortodoncia interceptiva. De hecho, es ideal empezar el tratamiento entre los cinco y los nueve años de edad aproximadamente. Sin embargo, cuando se descubre en los adolescentes, se realiza tratamiento de ortodoncia fija para corregirla, ya que a esa edad es demasiado tarde para hacer un tratamiento de ortodoncia interceptiva.

Sin duda, los tratamientos interceptivos pueden realizarse con distintos aparatos, siendo el estudio de ortodoncia el que nos indica el enfoque más adecuado.

Por otro lado, el tratamiento de ortodoncia fija puede realizarse con brackets o con ortodoncia invisible. Los brackets pueden ser estéticos o los metálicos convencionales.

Finalmente, la decisión para el tipo de mecánica o aparatología para solucionar una sobremordida dependerá de las características de cómo ocluye y de aspectos funcionales. También, de los rasgos faciales del niño o jóven, y se determinará en función de los resultados del estudio de ortodoncia.

Sobremordida antes y después

Sobremordida antes y después perfil

¿Cuánto dura el tratamiento de mordida profunda?

Para corregir la sobremordida, se debe analizar el caso del niño o joven con un estudio para valorar el tipo y el tiempo necesario de tratamiento. Por lo tanto, ya sea con ortodoncia interceptiva o con ortodoncia fija, dependerá del grado y tipo de mordida profunda y de la edad del paciente.

 

¿Qué es la sobremordida severa?

Cuando la mordida profunda alcanza un grado máximo, es decir, cuando los incisivos centrales superiores cubren completamente a los inferiores, hablamos de sobremordida severa. En ocasiones, también es conocida como sobremordida aumentada.

 

¿Qué pasa si no se trata la sobremordida?

Tal como hemos mencionado anteriormente, dejar de tratar esta maloclusión puede provocar problemas de salud en la edad adulta, dependiendo de su gravedad. Por lo tanto, el tratamiento consistirá en ortodoncia interceptiva en niños de corta edad y de ortodoncia fija si se detecta en la adolescencia.

Para terminar, aconsejamos valorar lo antes posible con el odontopediatra la existencia de una sobremordida dental en niños. Por desgracia, cuando un problema severo de este tipo no se detecta a tiempo, en pacientes adultos puede llegar a comportar hasta la necesidad de cirugía ortognática. En otras palabras, el tratamiento de la sobremordida en adultos es más complejo.

Hay casos severos que sólo pueden ser tratados con cirugía ortognática, proceso por el cual se reposiciona de forma quirúrgica la mandíbula en la posición idónea para que ocluya bien.

 

Referencias:

Boj JR, Cortés O, González P, Ferreira L. Odontopediatría Clínica. México DF. Odontología Books, 2018.

Boj JR, Catalá M, Mendoza A, Planells P, Cortés O, Odontopediatría. Bebés, niños y adolescentes. México DF. Odontología Books, 2019.

Boj JR, González, P, Hernández M, Cortés O, Odontopediatría. Dudas y aclaraciones. México DF. Odontología Books, 2019.

Boj JR, Auría B, Cortés O, Stucchi C, González P, Espasa E. Formación clínica en Odontopediatría. Barcelona. Editorial Universidad de Barcelona, 2021.

 

Enviar por correo
Compartir en Facebook

Últimos posts

apiñamiento dental

Apiñamiento dental o dientes torcidos: ¿qué hacer?

El apiñamiento dental o la aparición de dientes torcidos es una maloclusión debida a una falta de espacio en uno o ambos maxilares. En estos casos, las piezas dentales no tienen la posición correcta y se apiñan o se tuercen. Por ello, es importante corregirlo mediante ortodoncia durante los primeros años de vida.

Leer más »