Blog

Blog

Frenillo labial: ¿qué es? Problemas que ocasiona y tratamientos

cirugia del frenillo labial superior
La cirugía del frenillo labial superior se realiza en pacientes jóvenes por función o por estética. Descubre en qué casos es conveniente realizar este procedimiento y en qué consiste.

Problemas y anomalías causadas por el frenillo labial

 

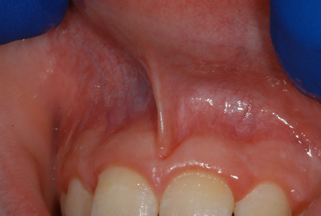
Separación de dientes por causa del frenillo labial superior: frenillo hipertrófico.

 

El frenillo labial superior hipertrófico puede provocar un espacio entre los incisivos centrales más grande de lo habitual. Esto, dará lugar a lo que conocemos con el nombre de diastema interincisal. Puedes leer más consultando nuestro blog “¿Qué es un diastema? Causas y tratamientos”.

 

Inflamación del frenillo superior.

 

Además, junto con un frenillo labial superior hipertrófico, en ocasiones también podemos observar que existe una limitación del movimiento del labio superior o un labio superior corto. Los signos clínicos, junto con un diastema interincisal de 1 a 6 mm o superior, son un labio superior corto y bermellón elevado. En realidad consiste en que el frenillo superior está inflamado.

 

Limitación de movimiento por causa del frenillo del labio

A veces también ocurre una limitación del movimiento del labio superior, o problemas de autoclisis en el vestíbulo entre el labio y la encía. Es decir, los movimientos involuntarios de la lengua, los labios y los flujos de la saliva que tienen lugar normalmente después de la masticación y la deglución y que provocan el fenómeno de una higiene bucal automática, desaparecen por la falta de espacio en el vestíbulo entre el labio y la encía.

 

Principales tratamientos del frenillo labial.

 

¿Cómo se quita el frenillo del labio?

 

La frenotomía del frenillo en el labio es una simple incisión sin llegar al periostio y la frenectomía del frenillo labial es la incisión y eliminación de todo el frenillo.

Todas las anomalías mencionadas tienen solución si se realiza la cirugía del frenillo labial superior.  Afortunadamente, para esta intervención existen, hoy en día, interesantes avances científicos que reducen los efectos quirúrgicos y post-operatorios a mínimos, gracias al uso de la tecnología láser.

 

En caso de que el frenillo labial inferior sea corto, también se produciría la limitación del movimiento del mismo, produciendo inflamación del frenillo labial inferior y generando problemas de autoclisis en el vestíbulo entre el labio inferior y la encía.

 

La solución a todas las disfunciones mencionadas es la frenectomía labial inferior, que también puede solucionarse a través de procedimiento operatorio con tecnología láser. 

 

¿Cuándo operar el frenillo del labio?

 

En caso de diastema

La presencia de un frenillo superior prominente y un diastema (espacio entre los dientes) es motivo de preocupación en muchos padres. Sin embargo, esta situación es considerada “normal” en Odontopediatría en la mayoría de los casos.

 

Generalmente a partir de los 8-10 años, con la erupción de los incisivos y caninos, la presencia de un diastema y un frenillo de inserción baja en la papila palatina puede ser motivo de valoración quirúrgica, en cuyo caso se recomendaría la cirugía del frenillo labial superior. En estos casos, como hemos mencionado anteriormente, ésta podría realizarse con una técnica odontológica mínimamente invasiva, es decir, con una intervención con tecnología láser, muy conveniente en pacientes pediátricos.

 

Por dificultad para la higiene bucal

 

Otras indicaciones son la dificultad en la higiene bucal y la afectación del periodonto, es decir, del tejido que sostiene los dientes. En ocasiones, el frenillo puede producir una recesión gingival.

 

La prueba clásica que se lleva a cabo para valorar este tejido es levantarlo tirando del labio hacia arriba, en cuyo caso la zona se verá con una coloración “blanquecina” por la isquemia que se produce.

 

La isquemia es la reducción del flujo sanguíneo en los tejidos, lo que provoca la disminución de la cantidad de oxígeno y nutrientes en la zona afectada. Este test recibe el nombre de “test de isquemia o maniobra de Graber” y suele ser la prueba de elección por los clínicos.

Aunque, sin duda, la última palabra siempre la tendrán el Odontopediatra o especialista infantil, el Pediatra y el Logopeda, valorando el caso en su globalidad.

 

Necesidad de realizar un diagnóstico diferencial

Además, el odontopediatra o dentista infantil, deberá realizar un diagnóstico diferencial con otras causas como:

a) dientes supernumerarios (mesiodens),
b) succión digital (produce inclinación hacia delante por lo que también podría ser la causa de un diastema),
c) quiste fisurario del conducto naso-palatino,
d) aumento del perímetro maxilar, o
e) agenesias dentarias, es decir, un desorden heterogéneo determinado genéticamente que se manifiesta con la ausencia congénita de uno o más dientes.

De hecho, esta última, es una de las anomalías cráneo-faciales más comunes en el desarrollo humano y ocurre especialmente en los dientes incisivos laterales.

 

Recomendar la cirugía láser del frenillo labial

Si ninguno de estos diagnósticos diferenciales existe, entonces el odontopediatra probablemente recomendará la cirugía del frenillo labial superior, que como ya hemos mencionado, tiene un impacto quirúrgico y post-operatorio en el niño o adolescente muy inferior con el uso de la tecnología láser.

 

Por supuesto, en caso de que el problema exista en el frenillo labial inferior, la solución también podría ser la frenotomía labial inferior, cuya ejecución también puede llevarse a cabo con tecnología láser.

 

¿En qué consiste la cirugía del frenillo labial?

 

La cirugía del frenillo labial es un proceso operatorio que debe ser realizada por un profesional preparado.

Hoy en día, existe la opción de tratar el frenillo labial mediante algún tipo de tecnología láser, como sustitución a la cirugía tradicional. Disponemos de unos periodos de recuperación más cortos y menos traumáticos para el niño o joven, al ser éste un proceso basado en la odontología mínimamente invasiva.

Finalmente, en Odontopediatría, la aproximación de la cirugía oral es distinta a la que se realiza por parte del resto de profesionales odontológicos, puesto que las técnicas de guía de conducta que se emplean en niños y jóvenes, permiten poder afrontar mejor estos tratamientos, tales como la cirugía del frenillo labial superior o la frenotomía labial inferior, que, a ojos de papás y pacientes son complejos y generan cierto miedo o respeto.

 

 

 

Frenillo labial superior

 

Frenillo Labial Superior

 

frenillo labial inferior

 

Frenillo Labial Inferior

 

Referencias:

 

Boj JR, Català M, Mendoza A, Planells P, Cortés O. Odonto Pediatría. Bebés, niños y adolescentes. Odontología Books, 2019. Pages 325 – 335.

 

Boj JR., González P., Hernández M., Cortés O. Odontopediatría. Dudas y Aclaraciones. Odontología Books, 2019.

 

Boj JR, Espanya A. “Concerns of Settings Used for Low Level Therapy Laser”, Pediatric Dentistry, 2021/1/1, Volume 43, No 1, pages 7-7. Editor American Academy Pediatric Dentistry.

 

Boj JR., Poirier C., Hernandez M., Espasa E., Espanya A. “Laser soft tissue treatments for paediatric dental patients.” European archives of paediatric dentistry, 2011/4, Volume 12, No 2, pages 100-105, Editor Springer-Verlag.

 

Boj JR, Poirier C, Hernandez M, Espasa E, Espanya A. “Case Series: Laser treatments for soft tissue problems in children.” European Archives of Paediatric Dentistry, 2011/4/1, Volume 12, No 2, pages 113-117, Editor Springer-Verlag.

 

Boj JR. “The Future of Laser Paediatric Dentistry.” Journal of Oral Laser Applications, 2005/6/1, Volume 5, No 3.

Problemas y anomalías causadas por el frenillo labial

 

Separación de dientes por causa del frenillo labial superior: frenillo hipertrófico.

 

El frenillo labial superior hipertrófico puede provocar un espacio entre los incisivos centrales más grande de lo habitual. Esto, dará lugar a lo que conocemos con el nombre de diastema interincisal. Puedes leer más consultando nuestro blog “¿Qué es un diastema? Causas y tratamientos”.

 

Inflamación del frenillo superior.

 

Además, junto con un frenillo labial superior hipertrófico, en ocasiones también podemos observar que existe una limitación del movimiento del labio superior o un labio superior corto. Los signos clínicos, junto con un diastema interincisal de 1 a 6 mm o superior, son un labio superior corto y bermellón elevado. En realidad consiste en que el frenillo superior está inflamado.

 

Limitación de movimiento por causa del frenillo del labio

A veces también ocurre una limitación del movimiento del labio superior, o problemas de autoclisis en el vestíbulo entre el labio y la encía. Es decir, los movimientos involuntarios de la lengua, los labios y los flujos de la saliva que tienen lugar normalmente después de la masticación y la deglución y que provocan el fenómeno de una higiene bucal automática, desaparecen por la falta de espacio en el vestíbulo entre el labio y la encía.

 

Principales tratamientos del frenillo labial.

 

¿Cómo se quita el frenillo del labio?

 

La frenotomía del frenillo en el labio es una simple incisión sin llegar al periostio y la frenectomía del frenillo labial es la incisión y eliminación de todo el frenillo.

Todas las anomalías mencionadas tienen solución si se realiza la cirugía del frenillo labial superior.  Afortunadamente, para esta intervención existen, hoy en día, interesantes avances científicos que reducen los efectos quirúrgicos y post-operatorios a mínimos, gracias al uso de la tecnología láser.

 

En caso de que el frenillo labial inferior sea corto, también se produciría la limitación del movimiento del mismo, produciendo inflamación del frenillo labial inferior y generando problemas de autoclisis en el vestíbulo entre el labio inferior y la encía.

 

La solución a todas las disfunciones mencionadas es la frenectomía labial inferior, que también puede solucionarse a través de procedimiento operatorio con tecnología láser. 

 

¿Cuándo operar el frenillo del labio?

 

En caso de diastema

La presencia de un frenillo superior prominente y un diastema (espacio entre los dientes) es motivo de preocupación en muchos padres. Sin embargo, esta situación es considerada “normal” en Odontopediatría en la mayoría de los casos.

 

Generalmente a partir de los 8-10 años, con la erupción de los incisivos y caninos, la presencia de un diastema y un frenillo de inserción baja en la papila palatina puede ser motivo de valoración quirúrgica, en cuyo caso se recomendaría la cirugía del frenillo labial superior. En estos casos, como hemos mencionado anteriormente, ésta podría realizarse con una técnica odontológica mínimamente invasiva, es decir, con una intervención con tecnología láser, muy conveniente en pacientes pediátricos.

 

Por dificultad para la higiene bucal

 

Otras indicaciones son la dificultad en la higiene bucal y la afectación del periodonto, es decir, del tejido que sostiene los dientes. En ocasiones, el frenillo puede producir una recesión gingival.

 

La prueba clásica que se lleva a cabo para valorar este tejido es levantarlo tirando del labio hacia arriba, en cuyo caso la zona se verá con una coloración “blanquecina” por la isquemia que se produce.

 

La isquemia es la reducción del flujo sanguíneo en los tejidos, lo que provoca la disminución de la cantidad de oxígeno y nutrientes en la zona afectada. Este test recibe el nombre de “test de isquemia o maniobra de Graber” y suele ser la prueba de elección por los clínicos.

Aunque, sin duda, la última palabra siempre la tendrán el Odontopediatra o especialista infantil, el Pediatra y el Logopeda, valorando el caso en su globalidad.

 

Necesidad de realizar un diagnóstico diferencial

Además, el odontopediatra o dentista infantil, deberá realizar un diagnóstico diferencial con otras causas como:

a) dientes supernumerarios (mesiodens),
b) succión digital (produce inclinación hacia delante por lo que también podría ser la causa de un diastema),
c) quiste fisurario del conducto naso-palatino,
d) aumento del perímetro maxilar, o
e) agenesias dentarias, es decir, un desorden heterogéneo determinado genéticamente que se manifiesta con la ausencia congénita de uno o más dientes.

De hecho, esta última, es una de las anomalías cráneo-faciales más comunes en el desarrollo humano y ocurre especialmente en los dientes incisivos laterales.

 

Recomendar la cirugía láser del frenillo labial

Si ninguno de estos diagnósticos diferenciales existe, entonces el odontopediatra probablemente recomendará la cirugía del frenillo labial superior, que como ya hemos mencionado, tiene un impacto quirúrgico y post-operatorio en el niño o adolescente muy inferior con el uso de la tecnología láser.

 

Por supuesto, en caso de que el problema exista en el frenillo labial inferior, la solución también podría ser la frenotomía labial inferior, cuya ejecución también puede llevarse a cabo con tecnología láser.

 

¿En qué consiste la cirugía del frenillo labial?

 

La cirugía del frenillo labial es un proceso operatorio que debe ser realizada por un profesional preparado.

Hoy en día, existe la opción de tratar el frenillo labial mediante algún tipo de tecnología láser, como sustitución a la cirugía tradicional. Disponemos de unos periodos de recuperación más cortos y menos traumáticos para el niño o joven, al ser éste un proceso basado en la odontología mínimamente invasiva.

Finalmente, en Odontopediatría, la aproximación de la cirugía oral es distinta a la que se realiza por parte del resto de profesionales odontológicos, puesto que las técnicas de guía de conducta que se emplean en niños y jóvenes, permiten poder afrontar mejor estos tratamientos, tales como la cirugía del frenillo labial superior o la frenotomía labial inferior, que, a ojos de papás y pacientes son complejos y generan cierto miedo o respeto.

 

 

 

Frenillo labial superior

 

Frenillo Labial Superior

 

frenillo labial inferior

 

Frenillo Labial Inferior

 

Referencias:

 

Boj JR, Català M, Mendoza A, Planells P, Cortés O. Odonto Pediatría. Bebés, niños y adolescentes. Odontología Books, 2019. Pages 325 – 335.

 

Boj JR., González P., Hernández M., Cortés O. Odontopediatría. Dudas y Aclaraciones. Odontología Books, 2019.

 

Boj JR, Espanya A. “Concerns of Settings Used for Low Level Therapy Laser”, Pediatric Dentistry, 2021/1/1, Volume 43, No 1, pages 7-7. Editor American Academy Pediatric Dentistry.

 

Boj JR., Poirier C., Hernandez M., Espasa E., Espanya A. “Laser soft tissue treatments for paediatric dental patients.” European archives of paediatric dentistry, 2011/4, Volume 12, No 2, pages 100-105, Editor Springer-Verlag.

 

Boj JR, Poirier C, Hernandez M, Espasa E, Espanya A. “Case Series: Laser treatments for soft tissue problems in children.” European Archives of Paediatric Dentistry, 2011/4/1, Volume 12, No 2, pages 113-117, Editor Springer-Verlag.

 

Boj JR. “The Future of Laser Paediatric Dentistry.” Journal of Oral Laser Applications, 2005/6/1, Volume 5, No 3.

Frenillo labial: ¿qué es? Problemas que da y tratamientos

 

El frenillo labial es una banda de tejido fibroso que parte de la cara interna del labio y va a insertarse sobre la línea media de la encía adherida. 

Tipos de frenillos en el labio:

 

Tenemos dos frenillos labiales en la cavidad bucal, el superior y el inferior.

 

¿Cuál es la función del frenillo superior e inferior?

 

El frenillo labial superior es una banda de tejido fibroso que parte de la cara interna del labio y va a insertarse sobre la línea media de la encía adherida interincisal del maxilar superior.

 

El frenillo labial inferior es un repliegue de la mucosa bucal, situado en la línea media cuya función es conectar el labio inferior con la encía adherida y la papila interincisal inferior.

 

En el caso del superior, en el nacimiento, este frenillo alcanza la papila palatina (la encía que se encuentra entre los incisivos centrales). Poco a poco, con el crecimiento del niño, el frenillo se mueve progresivamente y se localiza en la zona más superior a los dientes.

 

¿Qué pasa si se corta el frenillo del labio?

 

En los niños puede ocurrir una ruptura del frenillo labial superior mayoritariamente debido a traumatismos en esa zona. Estos accidentes en los que el frenillo está roto pueden causar impacto en los padres por la cantidad de sangrado. Por ello, para controlar el sangrado se debe presionar la herida cuidadosamente y limpiar la zona con agua o suero.

 

También se puede aplicar en el frenillo roto frío, para el control de la inflamación. En estos casos se debe acudir al odontopediatra para que se realice una exploración clínica y radiográfica. Así valorará el estado de la herida y descartará que los dientes no estén también implicados en el golpe.

 

Si el traumatismo se produce en el frenillo labial inferior, el procedimiento será el mismo.

 

Problemas y anomalías causadas por el frenillo labial

 

Separación de dientes por causa del frenillo labial superior: frenillo hipertrófico.

 

El frenillo labial superior hipertrófico puede provocar un espacio entre los incisivos centrales más grande de lo habitual. Esto, dará lugar a lo que conocemos con el nombre de diastema interincisal. Puedes leer más consultando nuestro blog “¿Qué es un diastema? Causas y tratamientos”.

 

Inflamación del frenillo superior.

 

Además, junto con un frenillo labial superior hipertrófico, en ocasiones también podemos observar que existe una limitación del movimiento del labio superior o un labio superior corto. Los signos clínicos, junto con un diastema interincisal de 1 a 6 mm o superior, son un labio superior corto y bermellón elevado. En realidad consiste en que el frenillo superior está inflamado.

 

Limitación de movimiento por causa del frenillo del labio

A veces también ocurre una limitación del movimiento del labio superior, o problemas de autoclisis en el vestíbulo entre el labio y la encía. Es decir, los movimientos involuntarios de la lengua, los labios y los flujos de la saliva que tienen lugar normalmente después de la masticación y la deglución y que provocan el fenómeno de una higiene bucal automática, desaparecen por la falta de espacio en el vestíbulo entre el labio y la encía.

 

Principales tratamientos del frenillo labial.

 

¿Cómo se quita el frenillo del labio?

 

La frenotomía del frenillo en el labio es una simple incisión sin llegar al periostio y la frenectomía del frenillo labial es la incisión y eliminación de todo el frenillo.

Todas las anomalías mencionadas tienen solución si se realiza la cirugía del frenillo labial superior.  Afortunadamente, para esta intervención existen, hoy en día, interesantes avances científicos que reducen los efectos quirúrgicos y post-operatorios a mínimos, gracias al uso de la tecnología láser.

 

En caso de que el frenillo labial inferior sea corto, también se produciría la limitación del movimiento del mismo, produciendo inflamación del frenillo labial inferior y generando problemas de autoclisis en el vestíbulo entre el labio inferior y la encía.

 

La solución a todas las disfunciones mencionadas es la frenectomía labial inferior, que también puede solucionarse a través de procedimiento operatorio con tecnología láser. 

 

¿Cuándo operar el frenillo del labio?

 

En caso de diastema

La presencia de un frenillo superior prominente y un diastema (espacio entre los dientes) es motivo de preocupación en muchos padres. Sin embargo, esta situación es considerada “normal” en Odontopediatría en la mayoría de los casos.

 

Generalmente a partir de los 8-10 años, con la erupción de los incisivos y caninos, la presencia de un diastema y un frenillo de inserción baja en la papila palatina puede ser motivo de valoración quirúrgica, en cuyo caso se recomendaría la cirugía del frenillo labial superior. En estos casos, como hemos mencionado anteriormente, ésta podría realizarse con una técnica odontológica mínimamente invasiva, es decir, con una intervención con tecnología láser, muy conveniente en pacientes pediátricos.

 

Por dificultad para la higiene bucal

 

Otras indicaciones son la dificultad en la higiene bucal y la afectación del periodonto, es decir, del tejido que sostiene los dientes. En ocasiones, el frenillo puede producir una recesión gingival.

 

La prueba clásica que se lleva a cabo para valorar este tejido es levantarlo tirando del labio hacia arriba, en cuyo caso la zona se verá con una coloración “blanquecina” por la isquemia que se produce.

 

La isquemia es la reducción del flujo sanguíneo en los tejidos, lo que provoca la disminución de la cantidad de oxígeno y nutrientes en la zona afectada. Este test recibe el nombre de “test de isquemia o maniobra de Graber” y suele ser la prueba de elección por los clínicos.

Aunque, sin duda, la última palabra siempre la tendrán el Odontopediatra o especialista infantil, el Pediatra y el Logopeda, valorando el caso en su globalidad.

 

Necesidad de realizar un diagnóstico diferencial

Además, el odontopediatra o dentista infantil, deberá realizar un diagnóstico diferencial con otras causas como:

a) dientes supernumerarios (mesiodens),
b) succión digital (produce inclinación hacia delante por lo que también podría ser la causa de un diastema),
c) quiste fisurario del conducto naso-palatino,
d) aumento del perímetro maxilar, o
e) agenesias dentarias, es decir, un desorden heterogéneo determinado genéticamente que se manifiesta con la ausencia congénita de uno o más dientes.

De hecho, esta última, es una de las anomalías cráneo-faciales más comunes en el desarrollo humano y ocurre especialmente en los dientes incisivos laterales.

 

Recomendar la cirugía láser del frenillo labial

Si ninguno de estos diagnósticos diferenciales existe, entonces el odontopediatra probablemente recomendará la cirugía del frenillo labial superior, que como ya hemos mencionado, tiene un impacto quirúrgico y post-operatorio en el niño o adolescente muy inferior con el uso de la tecnología láser.

 

Por supuesto, en caso de que el problema exista en el frenillo labial inferior, la solución también podría ser la frenotomía labial inferior, cuya ejecución también puede llevarse a cabo con tecnología láser.

 

¿En qué consiste la cirugía del frenillo labial?

 

La cirugía del frenillo labial es un proceso operatorio que debe ser realizada por un profesional preparado.

Hoy en día, existe la opción de tratar el frenillo labial mediante algún tipo de tecnología láser, como sustitución a la cirugía tradicional. Disponemos de unos periodos de recuperación más cortos y menos traumáticos para el niño o joven, al ser éste un proceso basado en la odontología mínimamente invasiva.

Finalmente, en Odontopediatría, la aproximación de la cirugía oral es distinta a la que se realiza por parte del resto de profesionales odontológicos, puesto que las técnicas de guía de conducta que se emplean en niños y jóvenes, permiten poder afrontar mejor estos tratamientos, tales como la cirugía del frenillo labial superior o la frenotomía labial inferior, que, a ojos de papás y pacientes son complejos y generan cierto miedo o respeto.

 

 

 

Frenillo labial superior

 

Frenillo Labial Superior

 

frenillo labial inferior

 

Frenillo Labial Inferior

 

Referencias:

 

Boj JR, Català M, Mendoza A, Planells P, Cortés O. Odonto Pediatría. Bebés, niños y adolescentes. Odontología Books, 2019. Pages 325 – 335.

 

Boj JR., González P., Hernández M., Cortés O. Odontopediatría. Dudas y Aclaraciones. Odontología Books, 2019.

 

Boj JR, Espanya A. “Concerns of Settings Used for Low Level Therapy Laser”, Pediatric Dentistry, 2021/1/1, Volume 43, No 1, pages 7-7. Editor American Academy Pediatric Dentistry.

 

Boj JR., Poirier C., Hernandez M., Espasa E., Espanya A. “Laser soft tissue treatments for paediatric dental patients.” European archives of paediatric dentistry, 2011/4, Volume 12, No 2, pages 100-105, Editor Springer-Verlag.

 

Boj JR, Poirier C, Hernandez M, Espasa E, Espanya A. “Case Series: Laser treatments for soft tissue problems in children.” European Archives of Paediatric Dentistry, 2011/4/1, Volume 12, No 2, pages 113-117, Editor Springer-Verlag.

 

Boj JR. “The Future of Laser Paediatric Dentistry.” Journal of Oral Laser Applications, 2005/6/1, Volume 5, No 3.

Frenillo labial: ¿qué es? Problemas que da y tratamientos

 

El frenillo labial es una banda de tejido fibroso que parte de la cara interna del labio y va a insertarse sobre la línea media de la encía adherida. 

Tipos de frenillos en el labio:

 

Tenemos dos frenillos labiales en la cavidad bucal, el superior y el inferior.

 

¿Cuál es la función del frenillo superior e inferior?

 

El frenillo labial superior es una banda de tejido fibroso que parte de la cara interna del labio y va a insertarse sobre la línea media de la encía adherida interincisal del maxilar superior.

 

El frenillo labial inferior es un repliegue de la mucosa bucal, situado en la línea media cuya función es conectar el labio inferior con la encía adherida y la papila interincisal inferior.

 

En el caso del superior, en el nacimiento, este frenillo alcanza la papila palatina (la encía que se encuentra entre los incisivos centrales). Poco a poco, con el crecimiento del niño, el frenillo se mueve progresivamente y se localiza en la zona más superior a los dientes.

 

¿Qué pasa si se corta el frenillo del labio?

 

En los niños puede ocurrir una ruptura del frenillo labial superior mayoritariamente debido a traumatismos en esa zona. Estos accidentes en los que el frenillo está roto pueden causar impacto en los padres por la cantidad de sangrado. Por ello, para controlar el sangrado se debe presionar la herida cuidadosamente y limpiar la zona con agua o suero.

 

También se puede aplicar en el frenillo roto frío, para el control de la inflamación. En estos casos se debe acudir al odontopediatra para que se realice una exploración clínica y radiográfica. Así valorará el estado de la herida y descartará que los dientes no estén también implicados en el golpe.

 

Si el traumatismo se produce en el frenillo labial inferior, el procedimiento será el mismo.

 

Problemas y anomalías causadas por el frenillo labial

 

Separación de dientes por causa del frenillo labial superior: frenillo hipertrófico.

 

El frenillo labial superior hipertrófico puede provocar un espacio entre los incisivos centrales más grande de lo habitual. Esto, dará lugar a lo que conocemos con el nombre de diastema interincisal. Puedes leer más consultando nuestro blog “¿Qué es un diastema? Causas y tratamientos”.

 

Inflamación del frenillo superior.

 

Además, junto con un frenillo labial superior hipertrófico, en ocasiones también podemos observar que existe una limitación del movimiento del labio superior o un labio superior corto. Los signos clínicos, junto con un diastema interincisal de 1 a 6 mm o superior, son un labio superior corto y bermellón elevado. En realidad consiste en que el frenillo superior está inflamado.

 

Limitación de movimiento por causa del frenillo del labio

A veces también ocurre una limitación del movimiento del labio superior, o problemas de autoclisis en el vestíbulo entre el labio y la encía. Es decir, los movimientos involuntarios de la lengua, los labios y los flujos de la saliva que tienen lugar normalmente después de la masticación y la deglución y que provocan el fenómeno de una higiene bucal automática, desaparecen por la falta de espacio en el vestíbulo entre el labio y la encía.

 

Principales tratamientos del frenillo labial.

 

¿Cómo se quita el frenillo del labio?

 

La frenotomía del frenillo en el labio es una simple incisión sin llegar al periostio y la frenectomía del frenillo labial es la incisión y eliminación de todo el frenillo.

Todas las anomalías mencionadas tienen solución si se realiza la cirugía del frenillo labial superior.  Afortunadamente, para esta intervención existen, hoy en día, interesantes avances científicos que reducen los efectos quirúrgicos y post-operatorios a mínimos, gracias al uso de la tecnología láser.

 

En caso de que el frenillo labial inferior sea corto, también se produciría la limitación del movimiento del mismo, produciendo inflamación del frenillo labial inferior y generando problemas de autoclisis en el vestíbulo entre el labio inferior y la encía.

 

La solución a todas las disfunciones mencionadas es la frenectomía labial inferior, que también puede solucionarse a través de procedimiento operatorio con tecnología láser. 

 

¿Cuándo operar el frenillo del labio?

 

En caso de diastema

La presencia de un frenillo superior prominente y un diastema (espacio entre los dientes) es motivo de preocupación en muchos padres. Sin embargo, esta situación es considerada “normal” en Odontopediatría en la mayoría de los casos.

 

Generalmente a partir de los 8-10 años, con la erupción de los incisivos y caninos, la presencia de un diastema y un frenillo de inserción baja en la papila palatina puede ser motivo de valoración quirúrgica, en cuyo caso se recomendaría la cirugía del frenillo labial superior. En estos casos, como hemos mencionado anteriormente, ésta podría realizarse con una técnica odontológica mínimamente invasiva, es decir, con una intervención con tecnología láser, muy conveniente en pacientes pediátricos.

 

Por dificultad para la higiene bucal

 

Otras indicaciones son la dificultad en la higiene bucal y la afectación del periodonto, es decir, del tejido que sostiene los dientes. En ocasiones, el frenillo puede producir una recesión gingival.

 

La prueba clásica que se lleva a cabo para valorar este tejido es levantarlo tirando del labio hacia arriba, en cuyo caso la zona se verá con una coloración “blanquecina” por la isquemia que se produce.

 

La isquemia es la reducción del flujo sanguíneo en los tejidos, lo que provoca la disminución de la cantidad de oxígeno y nutrientes en la zona afectada. Este test recibe el nombre de “test de isquemia o maniobra de Graber” y suele ser la prueba de elección por los clínicos.

Aunque, sin duda, la última palabra siempre la tendrán el Odontopediatra o especialista infantil, el Pediatra y el Logopeda, valorando el caso en su globalidad.

 

Necesidad de realizar un diagnóstico diferencial

Además, el odontopediatra o dentista infantil, deberá realizar un diagnóstico diferencial con otras causas como:

a) dientes supernumerarios (mesiodens),
b) succión digital (produce inclinación hacia delante por lo que también podría ser la causa de un diastema),
c) quiste fisurario del conducto naso-palatino,
d) aumento del perímetro maxilar, o
e) agenesias dentarias, es decir, un desorden heterogéneo determinado genéticamente que se manifiesta con la ausencia congénita de uno o más dientes.

De hecho, esta última, es una de las anomalías cráneo-faciales más comunes en el desarrollo humano y ocurre especialmente en los dientes incisivos laterales.

 

Recomendar la cirugía láser del frenillo labial

Si ninguno de estos diagnósticos diferenciales existe, entonces el odontopediatra probablemente recomendará la cirugía del frenillo labial superior, que como ya hemos mencionado, tiene un impacto quirúrgico y post-operatorio en el niño o adolescente muy inferior con el uso de la tecnología láser.

 

Por supuesto, en caso de que el problema exista en el frenillo labial inferior, la solución también podría ser la frenotomía labial inferior, cuya ejecución también puede llevarse a cabo con tecnología láser.

 

¿En qué consiste la cirugía del frenillo labial?

 

La cirugía del frenillo labial es un proceso operatorio que debe ser realizada por un profesional preparado.

Hoy en día, existe la opción de tratar el frenillo labial mediante algún tipo de tecnología láser, como sustitución a la cirugía tradicional. Disponemos de unos periodos de recuperación más cortos y menos traumáticos para el niño o joven, al ser éste un proceso basado en la odontología mínimamente invasiva.

Finalmente, en Odontopediatría, la aproximación de la cirugía oral es distinta a la que se realiza por parte del resto de profesionales odontológicos, puesto que las técnicas de guía de conducta que se emplean en niños y jóvenes, permiten poder afrontar mejor estos tratamientos, tales como la cirugía del frenillo labial superior o la frenotomía labial inferior, que, a ojos de papás y pacientes son complejos y generan cierto miedo o respeto.

 

 

 

Frenillo labial superior

 

Frenillo Labial Superior

 

frenillo labial inferior

 

Frenillo Labial Inferior

 

Referencias:

 

Boj JR, Català M, Mendoza A, Planells P, Cortés O. Odonto Pediatría. Bebés, niños y adolescentes. Odontología Books, 2019. Pages 325 – 335.

 

Boj JR., González P., Hernández M., Cortés O. Odontopediatría. Dudas y Aclaraciones. Odontología Books, 2019.

 

Boj JR, Espanya A. “Concerns of Settings Used for Low Level Therapy Laser”, Pediatric Dentistry, 2021/1/1, Volume 43, No 1, pages 7-7. Editor American Academy Pediatric Dentistry.

 

Boj JR., Poirier C., Hernandez M., Espasa E., Espanya A. “Laser soft tissue treatments for paediatric dental patients.” European archives of paediatric dentistry, 2011/4, Volume 12, No 2, pages 100-105, Editor Springer-Verlag.

 

Boj JR, Poirier C, Hernandez M, Espasa E, Espanya A. “Case Series: Laser treatments for soft tissue problems in children.” European Archives of Paediatric Dentistry, 2011/4/1, Volume 12, No 2, pages 113-117, Editor Springer-Verlag.

 

Boj JR. “The Future of Laser Paediatric Dentistry.” Journal of Oral Laser Applications, 2005/6/1, Volume 5, No 3.

Problemas y anomalías causadas por el frenillo labial

 

Separación de dientes por causa del frenillo labial superior: frenillo hipertrófico.

 

El frenillo labial superior hipertrófico puede provocar un espacio entre los incisivos centrales más grande de lo habitual. Esto, dará lugar a lo que conocemos con el nombre de diastema interincisal. Puedes leer más consultando nuestro blog “¿Qué es un diastema? Causas y tratamientos”.

 

Inflamación del frenillo superior.

 

Además, junto con un frenillo labial superior hipertrófico, en ocasiones también podemos observar que existe una limitación del movimiento del labio superior o un labio superior corto. Los signos clínicos, junto con un diastema interincisal de 1 a 6 mm o superior, son un labio superior corto y bermellón elevado. En realidad consiste en que el frenillo superior está inflamado.

 

Limitación de movimiento por causa del frenillo del labio

A veces también ocurre una limitación del movimiento del labio superior, o problemas de autoclisis en el vestíbulo entre el labio y la encía. Es decir, los movimientos involuntarios de la lengua, los labios y los flujos de la saliva que tienen lugar normalmente después de la masticación y la deglución y que provocan el fenómeno de una higiene bucal automática, desaparecen por la falta de espacio en el vestíbulo entre el labio y la encía.

 

Principales tratamientos del frenillo labial.

 

¿Cómo se quita el frenillo del labio?

 

La frenotomía del frenillo en el labio es una simple incisión sin llegar al periostio y la frenectomía del frenillo labial es la incisión y eliminación de todo el frenillo.

Todas las anomalías mencionadas tienen solución si se realiza la cirugía del frenillo labial superior.  Afortunadamente, para esta intervención existen, hoy en día, interesantes avances científicos que reducen los efectos quirúrgicos y post-operatorios a mínimos, gracias al uso de la tecnología láser.

 

En caso de que el frenillo labial inferior sea corto, también se produciría la limitación del movimiento del mismo, produciendo inflamación del frenillo labial inferior y generando problemas de autoclisis en el vestíbulo entre el labio inferior y la encía.

 

La solución a todas las disfunciones mencionadas es la frenectomía labial inferior, que también puede solucionarse a través de procedimiento operatorio con tecnología láser. 

 

¿Cuándo operar el frenillo del labio?

 

En caso de diastema

La presencia de un frenillo superior prominente y un diastema (espacio entre los dientes) es motivo de preocupación en muchos padres. Sin embargo, esta situación es considerada “normal” en Odontopediatría en la mayoría de los casos.

 

Generalmente a partir de los 8-10 años, con la erupción de los incisivos y caninos, la presencia de un diastema y un frenillo de inserción baja en la papila palatina puede ser motivo de valoración quirúrgica, en cuyo caso se recomendaría la cirugía del frenillo labial superior. En estos casos, como hemos mencionado anteriormente, ésta podría realizarse con una técnica odontológica mínimamente invasiva, es decir, con una intervención con tecnología láser, muy conveniente en pacientes pediátricos.

 

Por dificultad para la higiene bucal

 

Otras indicaciones son la dificultad en la higiene bucal y la afectación del periodonto, es decir, del tejido que sostiene los dientes. En ocasiones, el frenillo puede producir una recesión gingival.

 

La prueba clásica que se lleva a cabo para valorar este tejido es levantarlo tirando del labio hacia arriba, en cuyo caso la zona se verá con una coloración “blanquecina” por la isquemia que se produce.

 

La isquemia es la reducción del flujo sanguíneo en los tejidos, lo que provoca la disminución de la cantidad de oxígeno y nutrientes en la zona afectada. Este test recibe el nombre de “test de isquemia o maniobra de Graber” y suele ser la prueba de elección por los clínicos.

Aunque, sin duda, la última palabra siempre la tendrán el Odontopediatra o especialista infantil, el Pediatra y el Logopeda, valorando el caso en su globalidad.

 

Necesidad de realizar un diagnóstico diferencial

Además, el odontopediatra o dentista infantil, deberá realizar un diagnóstico diferencial con otras causas como:

a) dientes supernumerarios (mesiodens),
b) succión digital (produce inclinación hacia delante por lo que también podría ser la causa de un diastema),
c) quiste fisurario del conducto naso-palatino,
d) aumento del perímetro maxilar, o
e) agenesias dentarias, es decir, un desorden heterogéneo determinado genéticamente que se manifiesta con la ausencia congénita de uno o más dientes.

De hecho, esta última, es una de las anomalías cráneo-faciales más comunes en el desarrollo humano y ocurre especialmente en los dientes incisivos laterales.

 

Recomendar la cirugía láser del frenillo labial

Si ninguno de estos diagnósticos diferenciales existe, entonces el odontopediatra probablemente recomendará la cirugía del frenillo labial superior, que como ya hemos mencionado, tiene un impacto quirúrgico y post-operatorio en el niño o adolescente muy inferior con el uso de la tecnología láser.

 

Por supuesto, en caso de que el problema exista en el frenillo labial inferior, la solución también podría ser la frenotomía labial inferior, cuya ejecución también puede llevarse a cabo con tecnología láser.

 

¿En qué consiste la cirugía del frenillo labial?

 

La cirugía del frenillo labial es un proceso operatorio que debe ser realizada por un profesional preparado.

Hoy en día, existe la opción de tratar el frenillo labial mediante algún tipo de tecnología láser, como sustitución a la cirugía tradicional. Disponemos de unos periodos de recuperación más cortos y menos traumáticos para el niño o joven, al ser éste un proceso basado en la odontología mínimamente invasiva.

Finalmente, en Odontopediatría, la aproximación de la cirugía oral es distinta a la que se realiza por parte del resto de profesionales odontológicos, puesto que las técnicas de guía de conducta que se emplean en niños y jóvenes, permiten poder afrontar mejor estos tratamientos, tales como la cirugía del frenillo labial superior o la frenotomía labial inferior, que, a ojos de papás y pacientes son complejos y generan cierto miedo o respeto.

 

 

 

Frenillo labial superior

 

Frenillo Labial Superior

 

frenillo labial inferior

 

Frenillo Labial Inferior

 

Referencias:

 

Boj JR, Català M, Mendoza A, Planells P, Cortés O. Odonto Pediatría. Bebés, niños y adolescentes. Odontología Books, 2019. Pages 325 – 335.

 

Boj JR., González P., Hernández M., Cortés O. Odontopediatría. Dudas y Aclaraciones. Odontología Books, 2019.

 

Boj JR, Espanya A. “Concerns of Settings Used for Low Level Therapy Laser”, Pediatric Dentistry, 2021/1/1, Volume 43, No 1, pages 7-7. Editor American Academy Pediatric Dentistry.

 

Boj JR., Poirier C., Hernandez M., Espasa E., Espanya A. “Laser soft tissue treatments for paediatric dental patients.” European archives of paediatric dentistry, 2011/4, Volume 12, No 2, pages 100-105, Editor Springer-Verlag.

 

Boj JR, Poirier C, Hernandez M, Espasa E, Espanya A. “Case Series: Laser treatments for soft tissue problems in children.” European Archives of Paediatric Dentistry, 2011/4/1, Volume 12, No 2, pages 113-117, Editor Springer-Verlag.

 

Boj JR. “The Future of Laser Paediatric Dentistry.” Journal of Oral Laser Applications, 2005/6/1, Volume 5, No 3.

Frenillo labial: ¿qué es? Problemas que da y tratamientos

 

El frenillo labial es una banda de tejido fibroso que parte de la cara interna del labio y va a insertarse sobre la línea media de la encía adherida. 

Tipos de frenillos en el labio:

 

Tenemos dos frenillos labiales en la cavidad bucal, el superior y el inferior.

 

¿Cuál es la función del frenillo superior e inferior?

 

El frenillo labial superior es una banda de tejido fibroso que parte de la cara interna del labio y va a insertarse sobre la línea media de la encía adherida interincisal del maxilar superior.

 

El frenillo labial inferior es un repliegue de la mucosa bucal, situado en la línea media cuya función es conectar el labio inferior con la encía adherida y la papila interincisal inferior.

 

En el caso del superior, en el nacimiento, este frenillo alcanza la papila palatina (la encía que se encuentra entre los incisivos centrales). Poco a poco, con el crecimiento del niño, el frenillo se mueve progresivamente y se localiza en la zona más superior a los dientes.

 

¿Qué pasa si se corta el frenillo del labio?

 

En los niños puede ocurrir una ruptura del frenillo labial superior mayoritariamente debido a traumatismos en esa zona. Estos accidentes en los que el frenillo está roto pueden causar impacto en los padres por la cantidad de sangrado. Por ello, para controlar el sangrado se debe presionar la herida cuidadosamente y limpiar la zona con agua o suero.

 

También se puede aplicar en el frenillo roto frío, para el control de la inflamación. En estos casos se debe acudir al odontopediatra para que se realice una exploración clínica y radiográfica. Así valorará el estado de la herida y descartará que los dientes no estén también implicados en el golpe.

 

Si el traumatismo se produce en el frenillo labial inferior, el procedimiento será el mismo.

 

Problemas y anomalías causadas por el frenillo labial

 

Separación de dientes por causa del frenillo labial superior: frenillo hipertrófico.

 

El frenillo labial superior hipertrófico puede provocar un espacio entre los incisivos centrales más grande de lo habitual. Esto, dará lugar a lo que conocemos con el nombre de diastema interincisal. Puedes leer más consultando nuestro blog “¿Qué es un diastema? Causas y tratamientos”.

 

Inflamación del frenillo superior.

 

Además, junto con un frenillo labial superior hipertrófico, en ocasiones también podemos observar que existe una limitación del movimiento del labio superior o un labio superior corto. Los signos clínicos, junto con un diastema interincisal de 1 a 6 mm o superior, son un labio superior corto y bermellón elevado. En realidad consiste en que el frenillo superior está inflamado.

 

Limitación de movimiento por causa del frenillo del labio

A veces también ocurre una limitación del movimiento del labio superior, o problemas de autoclisis en el vestíbulo entre el labio y la encía. Es decir, los movimientos involuntarios de la lengua, los labios y los flujos de la saliva que tienen lugar normalmente después de la masticación y la deglución y que provocan el fenómeno de una higiene bucal automática, desaparecen por la falta de espacio en el vestíbulo entre el labio y la encía.

 

Principales tratamientos del frenillo labial.

 

¿Cómo se quita el frenillo del labio?

 

La frenotomía del frenillo en el labio es una simple incisión sin llegar al periostio y la frenectomía del frenillo labial es la incisión y eliminación de todo el frenillo.

Todas las anomalías mencionadas tienen solución si se realiza la cirugía del frenillo labial superior.  Afortunadamente, para esta intervención existen, hoy en día, interesantes avances científicos que reducen los efectos quirúrgicos y post-operatorios a mínimos, gracias al uso de la tecnología láser.

 

En caso de que el frenillo labial inferior sea corto, también se produciría la limitación del movimiento del mismo, produciendo inflamación del frenillo labial inferior y generando problemas de autoclisis en el vestíbulo entre el labio inferior y la encía.

 

La solución a todas las disfunciones mencionadas es la frenectomía labial inferior, que también puede solucionarse a través de procedimiento operatorio con tecnología láser. 

 

¿Cuándo operar el frenillo del labio?

 

En caso de diastema

La presencia de un frenillo superior prominente y un diastema (espacio entre los dientes) es motivo de preocupación en muchos padres. Sin embargo, esta situación es considerada “normal” en Odontopediatría en la mayoría de los casos.

 

Generalmente a partir de los 8-10 años, con la erupción de los incisivos y caninos, la presencia de un diastema y un frenillo de inserción baja en la papila palatina puede ser motivo de valoración quirúrgica, en cuyo caso se recomendaría la cirugía del frenillo labial superior. En estos casos, como hemos mencionado anteriormente, ésta podría realizarse con una técnica odontológica mínimamente invasiva, es decir, con una intervención con tecnología láser, muy conveniente en pacientes pediátricos.

 

Por dificultad para la higiene bucal

 

Otras indicaciones son la dificultad en la higiene bucal y la afectación del periodonto, es decir, del tejido que sostiene los dientes. En ocasiones, el frenillo puede producir una recesión gingival.

 

La prueba clásica que se lleva a cabo para valorar este tejido es levantarlo tirando del labio hacia arriba, en cuyo caso la zona se verá con una coloración “blanquecina” por la isquemia que se produce.

 

La isquemia es la reducción del flujo sanguíneo en los tejidos, lo que provoca la disminución de la cantidad de oxígeno y nutrientes en la zona afectada. Este test recibe el nombre de “test de isquemia o maniobra de Graber” y suele ser la prueba de elección por los clínicos.

Aunque, sin duda, la última palabra siempre la tendrán el Odontopediatra o especialista infantil, el Pediatra y el Logopeda, valorando el caso en su globalidad.

 

Necesidad de realizar un diagnóstico diferencial

Además, el odontopediatra o dentista infantil, deberá realizar un diagnóstico diferencial con otras causas como:

a) dientes supernumerarios (mesiodens),
b) succión digital (produce inclinación hacia delante por lo que también podría ser la causa de un diastema),
c) quiste fisurario del conducto naso-palatino,
d) aumento del perímetro maxilar, o
e) agenesias dentarias, es decir, un desorden heterogéneo determinado genéticamente que se manifiesta con la ausencia congénita de uno o más dientes.

De hecho, esta última, es una de las anomalías cráneo-faciales más comunes en el desarrollo humano y ocurre especialmente en los dientes incisivos laterales.

 

Recomendar la cirugía láser del frenillo labial

Si ninguno de estos diagnósticos diferenciales existe, entonces el odontopediatra probablemente recomendará la cirugía del frenillo labial superior, que como ya hemos mencionado, tiene un impacto quirúrgico y post-operatorio en el niño o adolescente muy inferior con el uso de la tecnología láser.

 

Por supuesto, en caso de que el problema exista en el frenillo labial inferior, la solución también podría ser la frenotomía labial inferior, cuya ejecución también puede llevarse a cabo con tecnología láser.

 

¿En qué consiste la cirugía del frenillo labial?

 

La cirugía del frenillo labial es un proceso operatorio que debe ser realizada por un profesional preparado.

Hoy en día, existe la opción de tratar el frenillo labial mediante algún tipo de tecnología láser, como sustitución a la cirugía tradicional. Disponemos de unos periodos de recuperación más cortos y menos traumáticos para el niño o joven, al ser éste un proceso basado en la odontología mínimamente invasiva.

Finalmente, en Odontopediatría, la aproximación de la cirugía oral es distinta a la que se realiza por parte del resto de profesionales odontológicos, puesto que las técnicas de guía de conducta que se emplean en niños y jóvenes, permiten poder afrontar mejor estos tratamientos, tales como la cirugía del frenillo labial superior o la frenotomía labial inferior, que, a ojos de papás y pacientes son complejos y generan cierto miedo o respeto.

 

 

 

Frenillo labial superior

 

Frenillo Labial Superior

 

frenillo labial inferior

 

Frenillo Labial Inferior

 

Referencias:

 

Boj JR, Català M, Mendoza A, Planells P, Cortés O. Odonto Pediatría. Bebés, niños y adolescentes. Odontología Books, 2019. Pages 325 – 335.

 

Boj JR., González P., Hernández M., Cortés O. Odontopediatría. Dudas y Aclaraciones. Odontología Books, 2019.

 

Boj JR, Espanya A. “Concerns of Settings Used for Low Level Therapy Laser”, Pediatric Dentistry, 2021/1/1, Volume 43, No 1, pages 7-7. Editor American Academy Pediatric Dentistry.

 

Boj JR., Poirier C., Hernandez M., Espasa E., Espanya A. “Laser soft tissue treatments for paediatric dental patients.” European archives of paediatric dentistry, 2011/4, Volume 12, No 2, pages 100-105, Editor Springer-Verlag.

 

Boj JR, Poirier C, Hernandez M, Espasa E, Espanya A. “Case Series: Laser treatments for soft tissue problems in children.” European Archives of Paediatric Dentistry, 2011/4/1, Volume 12, No 2, pages 113-117, Editor Springer-Verlag.

 

Boj JR. “The Future of Laser Paediatric Dentistry.” Journal of Oral Laser Applications, 2005/6/1, Volume 5, No 3.

Frenillo labial: ¿qué es? Problemas que da y tratamientos

 

El frenillo labial es una banda de tejido fibroso que parte de la cara interna del labio y va a insertarse sobre la línea media de la encía adherida. 

Tipos de frenillos en el labio:

 

Tenemos dos frenillos labiales en la cavidad bucal, el superior y el inferior.

 

¿Cuál es la función del frenillo superior e inferior?

 

El frenillo labial superior es una banda de tejido fibroso que parte de la cara interna del labio y va a insertarse sobre la línea media de la encía adherida interincisal del maxilar superior.

 

El frenillo labial inferior es un repliegue de la mucosa bucal, situado en la línea media cuya función es conectar el labio inferior con la encía adherida y la papila interincisal inferior.

 

En el caso del superior, en el nacimiento, este frenillo alcanza la papila palatina (la encía que se encuentra entre los incisivos centrales). Poco a poco, con el crecimiento del niño, el frenillo se mueve progresivamente y se localiza en la zona más superior a los dientes.

 

¿Qué pasa si se corta el frenillo del labio?

 

En los niños puede ocurrir una ruptura del frenillo labial superior mayoritariamente debido a traumatismos en esa zona. Estos accidentes en los que el frenillo está roto pueden causar impacto en los padres por la cantidad de sangrado. Por ello, para controlar el sangrado se debe presionar la herida cuidadosamente y limpiar la zona con agua o suero.

 

También se puede aplicar en el frenillo roto frío, para el control de la inflamación. En estos casos se debe acudir al odontopediatra para que se realice una exploración clínica y radiográfica. Así valorará el estado de la herida y descartará que los dientes no estén también implicados en el golpe.

 

Si el traumatismo se produce en el frenillo labial inferior, el procedimiento será el mismo.

 

Problemas y anomalías causadas por el frenillo labial

 

Separación de dientes por causa del frenillo labial superior: frenillo hipertrófico.

 

El frenillo labial superior hipertrófico puede provocar un espacio entre los incisivos centrales más grande de lo habitual. Esto, dará lugar a lo que conocemos con el nombre de diastema interincisal. Puedes leer más consultando nuestro blog “¿Qué es un diastema? Causas y tratamientos”.

 

Inflamación del frenillo superior.

 

Además, junto con un frenillo labial superior hipertrófico, en ocasiones también podemos observar que existe una limitación del movimiento del labio superior o un labio superior corto. Los signos clínicos, junto con un diastema interincisal de 1 a 6 mm o superior, son un labio superior corto y bermellón elevado. En realidad consiste en que el frenillo superior está inflamado.

 

Limitación de movimiento por causa del frenillo del labio

A veces también ocurre una limitación del movimiento del labio superior, o problemas de autoclisis en el vestíbulo entre el labio y la encía. Es decir, los movimientos involuntarios de la lengua, los labios y los flujos de la saliva que tienen lugar normalmente después de la masticación y la deglución y que provocan el fenómeno de una higiene bucal automática, desaparecen por la falta de espacio en el vestíbulo entre el labio y la encía.

 

Principales tratamientos del frenillo labial.

 

¿Cómo se quita el frenillo del labio?

 

La frenotomía del frenillo en el labio es una simple incisión sin llegar al periostio y la frenectomía del frenillo labial es la incisión y eliminación de todo el frenillo.

Todas las anomalías mencionadas tienen solución si se realiza la cirugía del frenillo labial superior.  Afortunadamente, para esta intervención existen, hoy en día, interesantes avances científicos que reducen los efectos quirúrgicos y post-operatorios a mínimos, gracias al uso de la tecnología láser.

 

En caso de que el frenillo labial inferior sea corto, también se produciría la limitación del movimiento del mismo, produciendo inflamación del frenillo labial inferior y generando problemas de autoclisis en el vestíbulo entre el labio inferior y la encía.

 

La solución a todas las disfunciones mencionadas es la frenectomía labial inferior, que también puede solucionarse a través de procedimiento operatorio con tecnología láser. 

 

¿Cuándo operar el frenillo del labio?

 

En caso de diastema

La presencia de un frenillo superior prominente y un diastema (espacio entre los dientes) es motivo de preocupación en muchos padres. Sin embargo, esta situación es considerada “normal” en Odontopediatría en la mayoría de los casos.

 

Generalmente a partir de los 8-10 años, con la erupción de los incisivos y caninos, la presencia de un diastema y un frenillo de inserción baja en la papila palatina puede ser motivo de valoración quirúrgica, en cuyo caso se recomendaría la cirugía del frenillo labial superior. En estos casos, como hemos mencionado anteriormente, ésta podría realizarse con una técnica odontológica mínimamente invasiva, es decir, con una intervención con tecnología láser, muy conveniente en pacientes pediátricos.

 

Por dificultad para la higiene bucal

 

Otras indicaciones son la dificultad en la higiene bucal y la afectación del periodonto, es decir, del tejido que sostiene los dientes. En ocasiones, el frenillo puede producir una recesión gingival.

 

La prueba clásica que se lleva a cabo para valorar este tejido es levantarlo tirando del labio hacia arriba, en cuyo caso la zona se verá con una coloración “blanquecina” por la isquemia que se produce.

 

La isquemia es la reducción del flujo sanguíneo en los tejidos, lo que provoca la disminución de la cantidad de oxígeno y nutrientes en la zona afectada. Este test recibe el nombre de “test de isquemia o maniobra de Graber” y suele ser la prueba de elección por los clínicos.

Aunque, sin duda, la última palabra siempre la tendrán el Odontopediatra o especialista infantil, el Pediatra y el Logopeda, valorando el caso en su globalidad.

 

Necesidad de realizar un diagnóstico diferencial

Además, el odontopediatra o dentista infantil, deberá realizar un diagnóstico diferencial con otras causas como:

a) dientes supernumerarios (mesiodens),
b) succión digital (produce inclinación hacia delante por lo que también podría ser la causa de un diastema),
c) quiste fisurario del conducto naso-palatino,
d) aumento del perímetro maxilar, o
e) agenesias dentarias, es decir, un desorden heterogéneo determinado genéticamente que se manifiesta con la ausencia congénita de uno o más dientes.

De hecho, esta última, es una de las anomalías cráneo-faciales más comunes en el desarrollo humano y ocurre especialmente en los dientes incisivos laterales.

 

Recomendar la cirugía láser del frenillo labial

Si ninguno de estos diagnósticos diferenciales existe, entonces el odontopediatra probablemente recomendará la cirugía del frenillo labial superior, que como ya hemos mencionado, tiene un impacto quirúrgico y post-operatorio en el niño o adolescente muy inferior con el uso de la tecnología láser.

 

Por supuesto, en caso de que el problema exista en el frenillo labial inferior, la solución también podría ser la frenotomía labial inferior, cuya ejecución también puede llevarse a cabo con tecnología láser.

 

¿En qué consiste la cirugía del frenillo labial?

 

La cirugía del frenillo labial es un proceso operatorio que debe ser realizada por un profesional preparado.

Hoy en día, existe la opción de tratar el frenillo labial mediante algún tipo de tecnología láser, como sustitución a la cirugía tradicional. Disponemos de unos periodos de recuperación más cortos y menos traumáticos para el niño o joven, al ser éste un proceso basado en la odontología mínimamente invasiva.

Finalmente, en Odontopediatría, la aproximación de la cirugía oral es distinta a la que se realiza por parte del resto de profesionales odontológicos, puesto que las técnicas de guía de conducta que se emplean en niños y jóvenes, permiten poder afrontar mejor estos tratamientos, tales como la cirugía del frenillo labial superior o la frenotomía labial inferior, que, a ojos de papás y pacientes son complejos y generan cierto miedo o respeto.

 

 

 

Frenillo labial superior

 

Frenillo Labial Superior

 

frenillo labial inferior

 

Frenillo Labial Inferior

 

Referencias:

 

Boj JR, Català M, Mendoza A, Planells P, Cortés O. Odonto Pediatría. Bebés, niños y adolescentes. Odontología Books, 2019. Pages 325 – 335.

 

Boj JR., González P., Hernández M., Cortés O. Odontopediatría. Dudas y Aclaraciones. Odontología Books, 2019.

 

Boj JR, Espanya A. “Concerns of Settings Used for Low Level Therapy Laser”, Pediatric Dentistry, 2021/1/1, Volume 43, No 1, pages 7-7. Editor American Academy Pediatric Dentistry.

 

Boj JR., Poirier C., Hernandez M., Espasa E., Espanya A. “Laser soft tissue treatments for paediatric dental patients.” European archives of paediatric dentistry, 2011/4, Volume 12, No 2, pages 100-105, Editor Springer-Verlag.

 

Boj JR, Poirier C, Hernandez M, Espasa E, Espanya A. “Case Series: Laser treatments for soft tissue problems in children.” European Archives of Paediatric Dentistry, 2011/4/1, Volume 12, No 2, pages 113-117, Editor Springer-Verlag.

 

Boj JR. “The Future of Laser Paediatric Dentistry.” Journal of Oral Laser Applications, 2005/6/1, Volume 5, No 3.

Enviar por correo
Compartir en Facebook

Últimos posts

apiñamiento dental

Apiñamiento dental o dientes torcidos: ¿qué hacer?

El apiñamiento dental o la aparición de dientes torcidos es una maloclusión debida a una falta de espacio en uno o ambos maxilares. En estos casos, las piezas dentales no tienen la posición correcta y se apiñan o se tuercen. Por ello, es importante corregirlo mediante ortodoncia durante los primeros años de vida.

Leer más »